▼Diary archive
コラム HOME美寿羽 楓のDiary archive トップページ > 717.原因不明の健康


0
717.原因不明の健康

命にはまったく問題が無いのですが、生まれつきちょっとしたプチ病があり、最近発作が多いのでしぶしぶ病院に行ってきました。
いろんな検査をしたところ、健康優良児とお墨付きを頂きましたo(^-^)o
どこの病院に行っても「原因不明の健康(?)」との診断結果を頂きます。
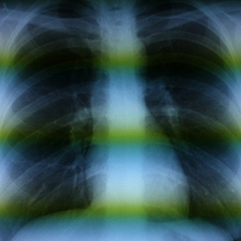
自分の身体の内部を見る機会なんてそうそうないので、レントゲン写真を記念に携帯で撮影してきました(*^ω^*)



右にある白いお団子のようなふくらみが心臓だそうです。
0
2013年2月20日